Composites and Tooth Colored Fillings in Broomfield CO
Are you tired of dark-colored fillings that are easily visible? Not only do composite fillings match the natural color of your teeth, they also do not contain any mercury.
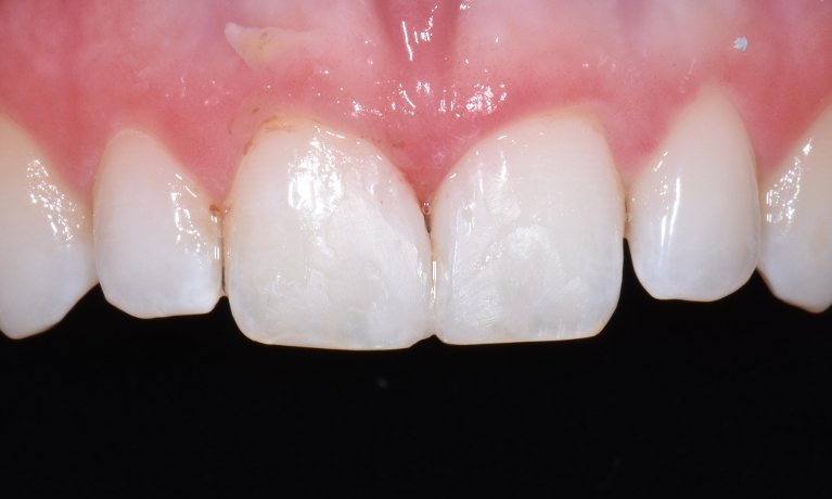
For nearly 150 years, dentists turned to amalgam, also known as silver, filling for cavities. Today, another option is available. Composite resin Fillings are made of a plastic and glass material and closely match the natural shade of teeth, making the fillings nearly invisible.
As a patient at Fleischmann Family Dentistry, you not only have the option of having composite resin fillings placed in any new cavities that should occur, you can also decide to have old amalgam fillings replaced with composite fillings for both a cleaner appearance and your own peace of mind.
How We Place Composite Fillings
Dr. Dave or Dr. Brooke will prepare the tooth for the filling by drilling out the cavity to make sure that no decay remains to cause further damage to the tooth. We use numbing agents to make sure that you don’t feel a thing. If you have further concerns or any anxiety about the process, please share your needs with us so that we can take additional measures to make you more comfortable.
Once the cavity has been cleaned out, the resin is placed into the cavity in layers. A special light is used to harden each layer before the next one is placed. After the cavity is completely filled, we clean up any remaining resin and polish the tooth to help the filling blend in.
Advantages of Composite Resin Fillings
Although having a filling that blends in almost completely with your tooth is helpful, the advantages of composite resin fillings go beyond aesthetics. Amalgam fillings are composed of nearly 50 percent mercury. While numerous studies have shown that the mercury in amalgam fillings is so low that it presents no harm, many people are still uncomfortable with the idea of having any mercury at all in their mouth.
Like any metal, amalgam fillings expand and contract slightly with temperature changes. This means that every time you drink a cup of hot tea or eat ice cream, your metal fillings could be causing small changes to happen within your tooth. Over time, these small changes can cause the filling to become loose and eventually need to be replaced. Composite resin fillings do not expand or contract. They actually bond to the tooth itself and will help support the natural structure from inside your tooth.
To find out more about composite resin fillings or to discuss the removal of amalgam fillings, please call the office of Fleischmann Family Dentistry today.
The American Dental Association Has Performed Numerous Studies