Smile Gallery
Would you like to find out more about the dental procedures offered at Fleischmann Family Dentistry? Let our beautiful results speak for themselves!
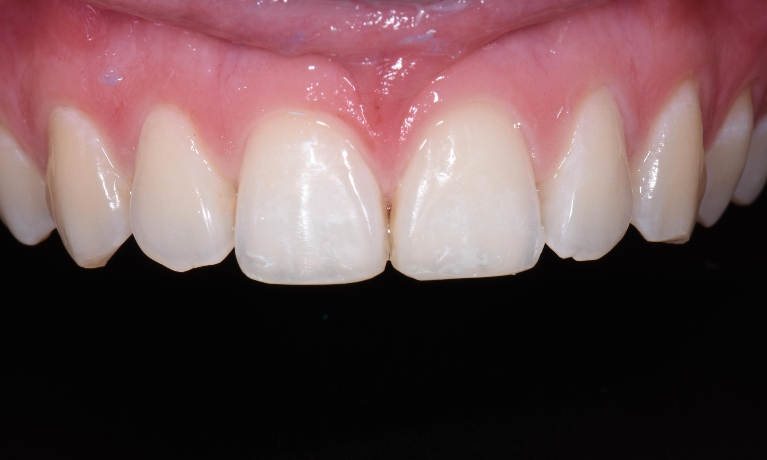
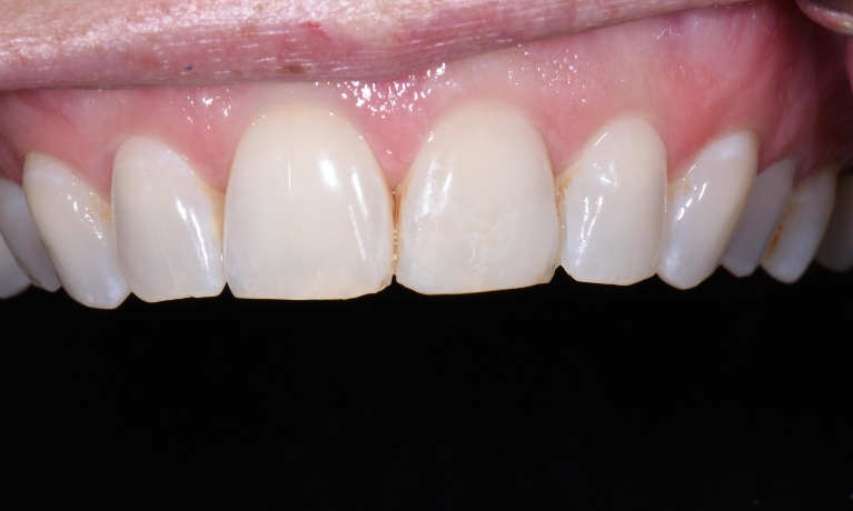
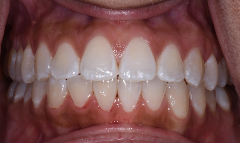
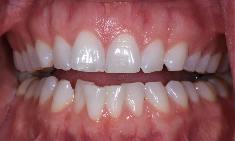
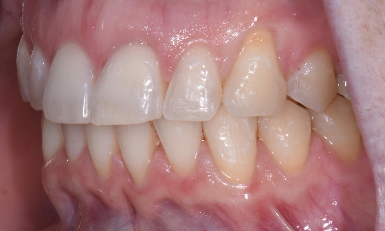
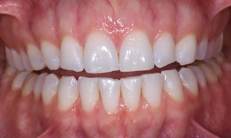
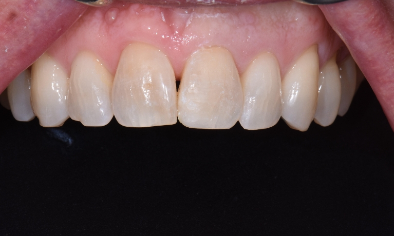
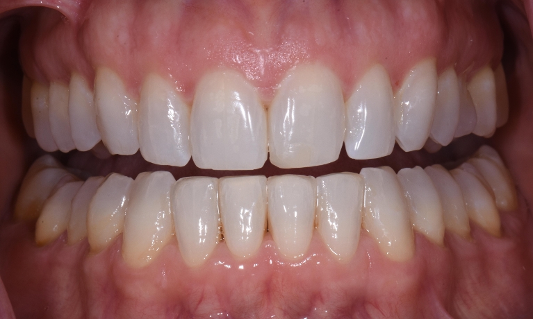
Kathleen came to us concerned about the wear and staining on her front teeth from years of grinding and old fillings chipping. She wanted to makeover her smile and we did just that! With a combination of conservative veneers and crowns, Kathleen is thrilled with the result!
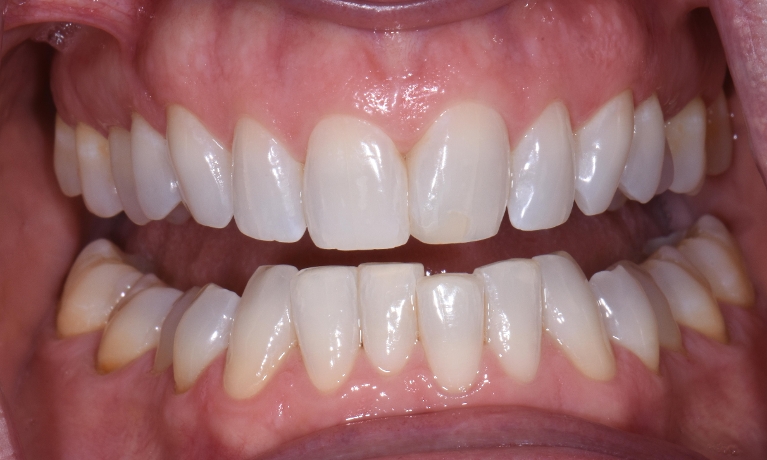
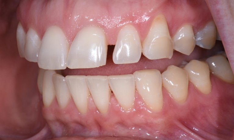
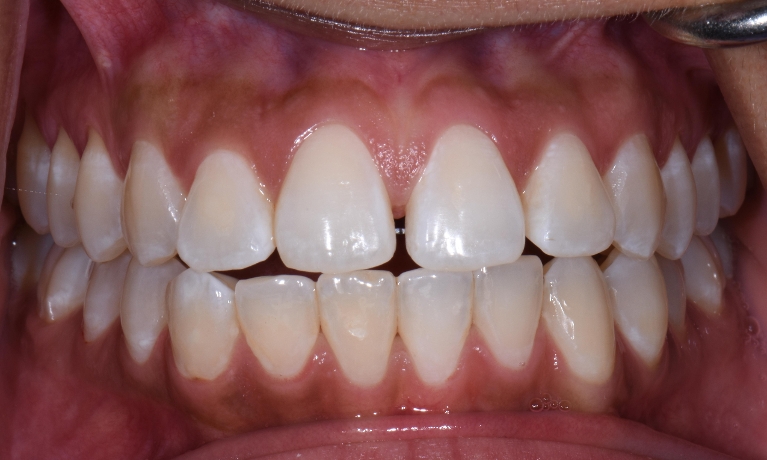
This patient didn't wanted to close the space between her front teeth without getting braces. We used resin bonding to drastically improve her smile in less than an hour! She is thrilled!
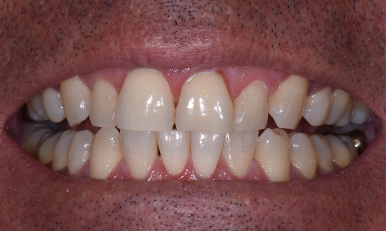
After our 40 minute appointment to fix his front teeth, he said he wished he had done it years ago!
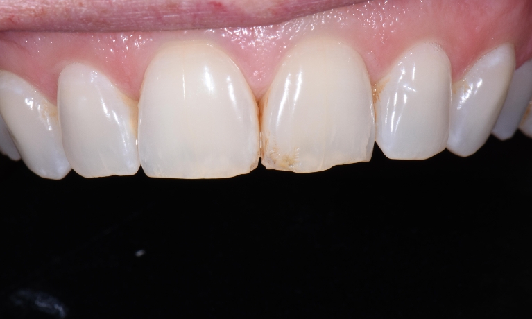
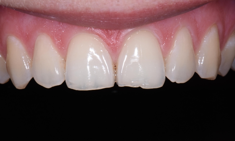
Try not to use your teeth to open things! Chips and fractures can happen! Luckily, we LOVE working on front teeth. This left front tooth was repaired in less than 30 minutes with a conservative composite restoration.
After years of avoiding the dentist, James finally had enough and wanted to fix his smile for good! He wanted a long-term solution that would allow him to smile with confidence. He elected to do implant-supported dentures that do not require daily removal and now he can't stop smiling!