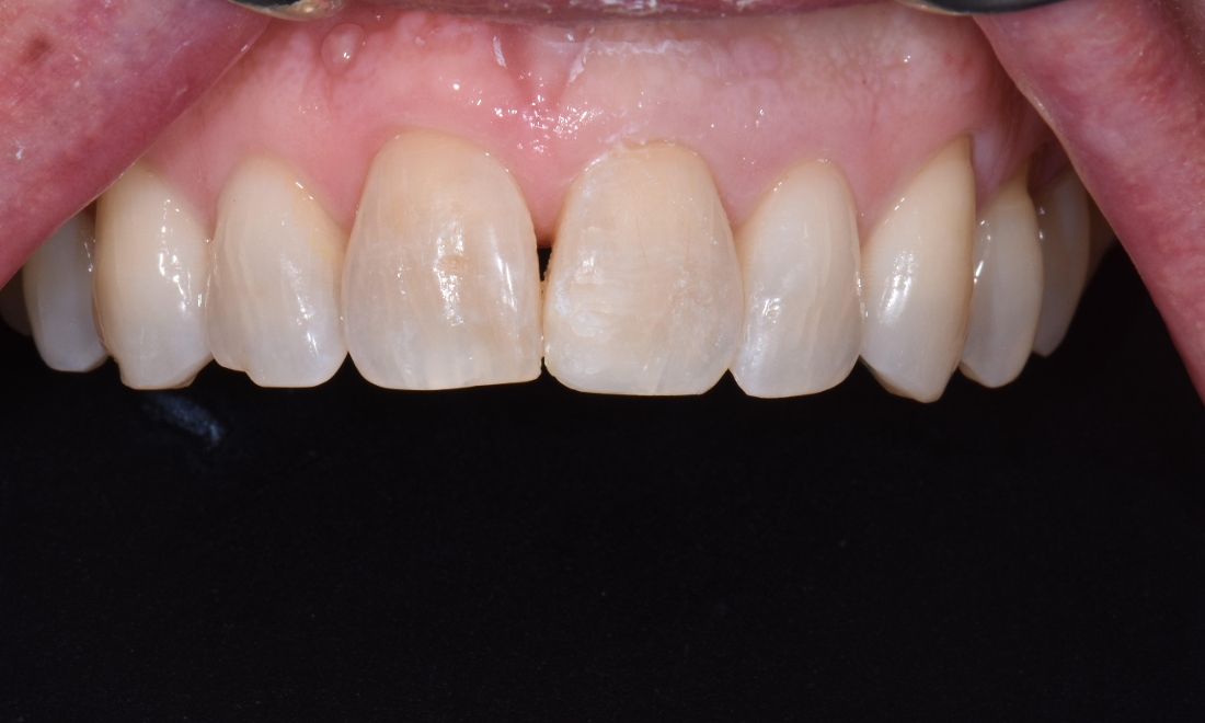
Try not to use your teeth to open things! Chips and fractures can happen! Luckily, we LOVE working on front teeth. This left front tooth was repaired in less than 30 minutes with a conservative composite restoration.
Try not to use your teeth to open things! Chips and fractures can happen! Luckily, we LOVE working on front teeth. This left front tooth was repaired in less than 30 minutes with a conservative composite restoration.