Fleischmann Family Dentistry
Drs. David and Brooke Fleischmann
Send us an Email
Like us on Facebook
Visit us on Yelp
Leave a Google Review
(303) 465-2341
Call Us Today
Read Our Reviews
Read Our Reviews
Home
About
Our Team
Office Pictures
Services
View All
Tooth Colored Fillings (Composite)
Dental Crowns and Bridges
Dental Veneers
Implant Restorations for Tooth Replacement
Dentures and Partials
Night Guards and Splints for Bruxism and TMJ/TMD
Cosmetic Dentistry and Restorations
Periodontal Care and Treatment
KOR Whitening
Smile Gallery
Forms
FAQs
View All
Other
Cosmetic Dentistry and Restorations
Dentures and Partials
Implant Restorations for Tooth Replacement
Night Guards and Splints for Bruxism and TMJ/TMD
Periodontal Care and Treatment
Tooth Colored Fillings (Composite)
Payments
Blog
Contact
Fleischmann Family Dentistry
>
Smile Gallery
>
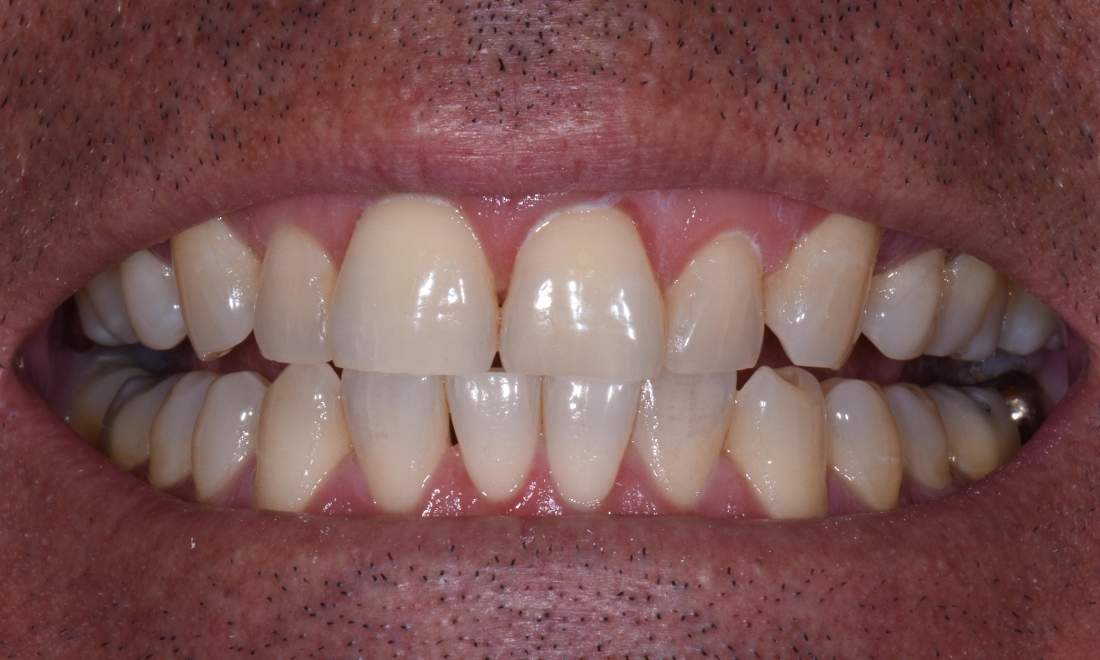
Invisalign 5 month Treatment with Whitening
Invisalign 5 month Treatment with Whitening
Return to Smile Gallery
Previous
Next
Before
After
Improve your smile today – call to schedule a consultation!
Contact Us
If you have difficulty using our website, please
email us
or call us at
(303) 465-2341
View the
ADA Accessibility Statement
Turn on ADA Views
Privacy Policy
OK!
×
×
Contact Us Today
Give Us A Call
Fleischmann Family Dentistry -
(303) 465-2341
Schedule a Free Consultation - Send Us an Email
Request an Appointment
Contact Us
Ready to Schedule an Appointment?
Book Online
Have Questions? Contact Us:
Required Field
Your Name:
Phone:
Email:
Are you a new patient?:
Are you a?
New Patient
Current Patient
How would you like us to contact you?
Please choose
Email
Call
How did you hear about us?
Please choose
I'm an existing patient
Google/Bing
Mailer
Word of mouth
Social media
Other
Who Referred You?:
Appointment Preferences
Monday
Tuesday
Wednesday
Thursday
Friday
Your Message:
This site is protected by reCAPTCHA and the Google
Privacy Policy
and
Terms of Service
apply.
Sending...
×
This Patient's Experience
Loading Testimonial...
Loading Case...